كيف تسبب التدخين في ضياع أسرة بكاملها .. وحول شاب أربعيني لعجوز مش قادر يخرج من أوضته
كبتب: علياء حامد
في كثير من الأحيان، نغفل عن نعمة الصحة ونعتبرها أمرًا مفروغًا منه، حتى تأتي أزمة صحية تغير كل تفاصيل حياتنا، إيهاب، شاب في الخامسة والأربعين من عمره، عاش تجربة صادمة بعد أن أصيب بـ ألم شديد في الصدر أثناء العمل، ليكتشف أنه يعاني من جلطة في القلب، الأمر الذي قلب حياته رأسًا على عقب.
من جلطة القلب إلى ضعف عضلة القلب
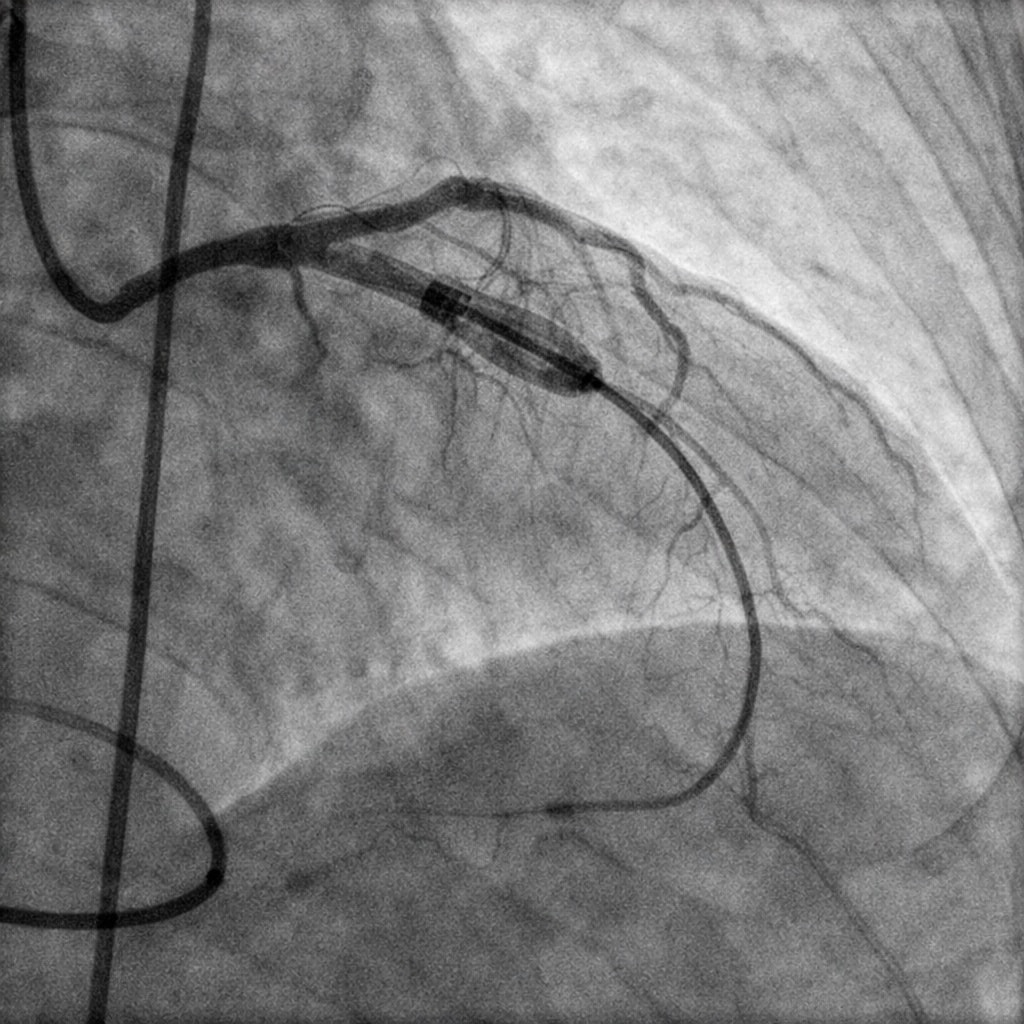
تم تشخيص إيهاب بسرعة وعمل له قسطرة وتركيب دعامة، لكن بعد أسبوع واحد فقط بدأت تظهر علامات ضعف عضلة القلب، أصبح يعاني من نهجان شديد مع أقل مجهود، كحة مستمرة وشرقة توقظه من النوم، وفحوصات القلب أظهرت كفاءة منخفضة للقلب بنسبة 30% مع ارتجاع في الصمام الميترالي وارتفاع ضغط الشريان الرئوي.

تحولت حالته من مجرد جلطة إلى فشل في عضلة القلب، وأصبح يحتاج إلى أدوية متعددة يوميًا للتحكم في أعراض الفشل مثل التورم في الساقين وصعوبة بذل أي مجهود.
تأثير المرض على حياة الفرد والأسرة
الحياة اليومية لإيهاب تغيّرت بالكامل، من شاب نشيط إلى شخص غير قادر على ممارسة أعماله الطبيعية، واضطر لترك عمله، بينما تولت زوجته تلبية احتياجات الأسرة، أصبحت الأدوية جزءًا من روتينه اليومي، بما يزيد عن 12 قرصًا يوميًا، وكان كل ذلك نتيجة تأثير التدخين على القلب.
كما أن هذا المرض لم يؤثر فقط على صحة إيهاب، بل قلب حياة الأسرة كلها رأسًا على عقب، وأبرز أهمية الوقاية قبل الوصول إلى هذه المرحلة.
أهمية الصحة مقارنة بالضيق المالي وفقدان الفرص المهنية
تُظهر هذه القصة أن كل ضيق مالي أو فقدان فرصة مهنية لا يقارن بأهمية الصحة، وأن المحافظة على الجسم والعقل والوقاية من الأمراض هي أعظم استثمار في الحياة، كل نعمة أخرى تتضاءل أمام نعمة الصحة، وهي الأساس الذي يقوم عليه كل نشاط يومي.
نصائح عملية للحفاظ على صحة القلب
- الإقلاع عن التدخين فورًا لتقليل خطر الجلطات.
- ممارسة الرياضة الخفيفة يوميًا للحفاظ على اللياقة والقلب.
- تناول نظام غذائي متوازن يقلل السكريات والدهون الضارة.
- متابعة ضغط الدم والكوليسترول ومستوى السكر بانتظام.
- الفحص الدوري للقلب للتأكد من عدم وجود خلل مبكر.
الوقاية من أمراض القلب
تشير الدراسات إلى أن التدخين، سوء التغذية، قلة النشاط البدني، وارتفاع الكوليسترول كلها عوامل تزيد خطر الإصابة بأمراض القلب. كما أن ضعف عضلة القلب يؤدي إلى:
- ضيق التنفس والنهجان مع أقل مجهود
- تورم في الساقين والكاحلين
- زيادة الاعتماد على الأدوية اليومية
- ارتفاع خطر الوفاة المبكرة
الوقاية المبكرة، مثل التغذية الصحية، النشاط البدني المنتظم والفحص الدوري، تساعد في تقليل هذه المخاطر وتحافظ على جودة الحياة.




