جنين كامل من غير راس.. قصة ولادة في طوارئ المنصورة

كتبت/ مي السايح

داخل أقسام الطوارئ، كان الدكتور محمد جاب الله، نائب الطوارئ بمستشفى جامعة المنصورة آنذاك، على مشارف الإجهاد الكامل مع تزاحم الحالات وساعات العمل المتواصلة، بينما ينتظر أذان الفجر ليقتنص فرصة للصلاة والتقاط الأنفاس.

لكن حالة واحدة قلبت مجرى تلك الليلة بالكامل، وحوّلت “مغص بطن” عادي – كما بدا في البداية – إلى واحدة من أغرب قصص الطوارئ التي لا تُنسى.

بدأت القصة عندما أخبره زميله النائب الأصغر “الجينيور” بأن هناك مريضة غير متزوجة تعاني من مغص شديد بالبطن، وقد تم إعطاؤها دواءً للمغص (بسكوبان)، وأن الأمور تبدو بسيطة.

سأل د. محمد سؤالًا روتينيًا لكنه جوهري: “دورتها الشهرية عاملة إزاي؟”

فجاءه الرد: “مش منتظمة بقالها 9 شهور.”

هذا الرقم وحده كان كفيلًا بأن يغيّر نظرة الطبيب للحالة تمامًا؛ تسعة أشهر هي مدة كافية لاشتباه حمل مكتمل، حتى لو أنكرت المريضة.

توجه الطبيب فورًا للكشف على المريضة، فوجد بطنها مشدودة وصلبة، وكأن داخلها “كائن حي يتحرك”، على حدّ وصفه، ومع ذلك كانت المريضة تصر على أن الأعراض ظهرت منذ ثلاثة أيام فقط، وتقدّم معلومات غير متسقة عن طبيعة الألم وانتفاخ البطن.

في هذه اللحظة، وضع الطبيب أمامه ثلاثة احتمالات:

  1. انسداد معوي حاد.
  2. حمل مخفي مع إنكار من المريضة، وهي على وشك الولادة.
  3. أو – كما عبّر ساخرًا – أن “الكائنات الفضائية خطفتها من 3 أيام ورجعتها بالشكل ده”.

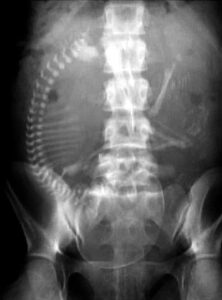
ورغم إنكار المريضة وعدم وجود زواج، قرر الطبيب افتراض حسن النية، والبدء من التشخيص الطبي المنطقي، فطلب أشعة سينية على البطن بوضعيات مختلفة، لاشتباه انسداد معوي، مع وضع في الاعتبار احتمال أن تكون في حالة ولادة كاملة، وأن الجنين مكتمل النمو ولن يتأثر كثيرًا بجرعة الأشعة في تلك اللحظة الحرجة.

جاءت نتيجة الأشعة صادمة وواضحة، هيكل عظمي كامل لجنين داخل الرحم.

سأل الطبيب والدة المريضة عمّا إذا كانت ابنتها متزوجة، فأجابت بالنفي. لكنه أخبرها مباشرةً بأن ابنتها في حالة ولادة، وأن الجنين ظاهر بوضوح في الأشعة، في إشارة إلى أن الأسرة كانت على الأغلب تعلم الحقيقة وتتجاهلها.

تم استدعاء نائب الأشعة لعمل تقرير رسمي، وإجراء فحص بالسونار لتأكيد الوضع وتحويل المريضة سريعًا إلى قسم النساء والتوليد، بعد دقائق، عاد طبيب الأشعة مسرعًا وهو يقول إنه لا يرى رأس الجنين في السونار.

شاهد أيضًا:عميد كلية تجارة يحمل طفل رضيع خلال محاضرته بجامعة كفر الشيخ| صور

توجه د. محمد على الفور لغرفة المريضة، ليكتشف أن رأس الطفل بالفعل في طريقه للخروج، وأن الولادة قد بدأت فعليًا.

في تلك اللحظة لم يكن هناك مجال لمزيد من الفحوص أو النقاش. أجرى د. محمد عملية الولادة بنفسه داخل الطوارئ، وسط حالة من الاستنفار الطبي، حتى خرج المولود بسلام.

بعد استقرار حالة الأم والطفل، استدعى د. محمد نائبة قسم النساء والتوليد لاستلام الحالة واستكمال الإجراءات الطبية والقانونية، خاصة في ظل غياب الزواج الرسمي وقت الولادة. وتروي القصة أن والد الطفل حضر لاحقًا في حراسة الشرطة، وتم عقد قرانه على الأم في قسم النساء بالمستشفى.

شاهد: سيدة خمسينية مركبة “لولبين” لمنع الحمل.. والطبيب يكشف مفاجأة

الحكاية التي يرويها د. محمد جاب الله بطرافة، تحمل وراءها عدة رسائل واضحة:

  1. التشخيص يبدأ من التاريخ المرضي وليس من جهاز الأشعة فقط
    سؤال بسيط عن انتظام الدورة الشهرية فتح بابًا لتشخيص حالة حمل كاملة كانت تخفيها المريضة، وربما أسرتها.
  2. العلاقة بين الطب والمجتمع معقدة
    إنكار الزواج والحمل، ومحاولة تمرير الحالة كـ”مغص”، يكشف جوانب اجتماعية وثقافية حساسة تتداخل مع الممارسة الطبية اليومية، وتجعل الطبيب أحيانًا في مواجهة مباشرة مع الكذب أو إخفاء الحقائق.
  3. الطبيب الجيد لا يستسلم للرواية الأولى
    رغم وصف الحالة في البداية بأنها مجرد مغص، تعامل الطبيب مع المعطيات بعقلية تشخيصية شاملة، وربط بين انقطاع الدورة 9 شهور وانتفاخ البطن وألمها، ثم دعم الشك بالفحوص اللازمة، وإن بدت “غير تقليدية” في سياق الولادة.
  4. الإنصات للمريض… والتشكيك في الرواية عند اللزوم
    كما يقول هو نفسه: “العيانين بيكدبوا… عادي يعني”، ليس تجريحًا، بل تأكيدًا على أن الطبيب لا بد أن يتحقق، وألا يكتفي بما يسمعه دون فحص وربط علمي بين الأعراض

مقالات ذات صلة

اترك تعليقاً

لن يتم نشر عنوان بريدك الإلكتروني. الحقول الإلزامية مشار إليها بـ *

زر الذهاب إلى الأعلى