رصاصة عمرها 50 سنة في رجله ومكنش عارف.. د. رانيا النبراوي تكشف قصة رصاصة استقرت في قدم مريض نصف قرن
كتبت/ مي السايح

في إحدى نوبات الشيفت الروتينية، كانت الدكتورة رانيا النبراوي، استشاري الأشعة، تراجع صور الرنين المغناطيسي لمريض كبير السن، عندما صادفت حالة أثارت دهشتها.
المريض، الذي يرتدي الجُبّة والقفطان، جاء لإجراء فحص رنين للبروستاتا، ونام على جهاز الأشعة، لكن أول صورة ظهرت سوداء تمامًا، وكأن الجهاز لم يلتقط أي تفاصيل.
بعد التحقيق مع فريق المساعدين، اكتشفت الدكتورة أن المريض كان يرتدي الجاون الواقي من الإشعاع، لكن لم يكن هناك أي معدن آخر واضح. لم تتوقف الدكتورة عند هذا الحد، وبدأت التحقيق الطبي:
– “حضرتك عملت عمليات قبل كده؟”
– “لا والله، عمري ما عملت عمليات”.
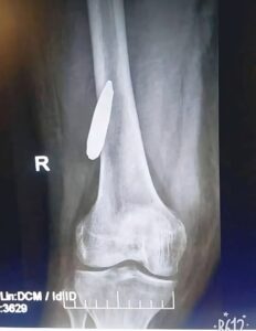
كانت الشكوك تحوم حول رجل المريض اليمنى، فأكدت الدكتورة شعورها بوجود معدن داخلها، رغم نفي المريض المستمر. بعد عدة محاولات، بما فيها تحريك السرير والتأكد من عدم وجود أي جسم معدني على السطح، ظلت الحيرة قائمة.
فجأة، كشف الفحص النهائي أن رجل المريض تحتوي بالفعل على رصاصة صامتة منذ حرب 1973، كانت كامنة داخل العضلات طوال هذه السنوات دون أن تسبب أي مشاكل صحية تذكر، حتى ظهرت الآن بسبب ضغط محتمل من أورام البروستاتا.

المريض وزوجته وابنه كانوا مذهولين من الاكتشاف، خصوصًا أنه ظل صامتًا طوال 50 عامًا، ولم يكن يعرف بوجوده، رغم أنه عاش حياته بشكل طبيعي.
شاهد ايضًا: طبيب أطفال يكشف حالة نادرة لطفل يعاني من حمى مستمرة.. والسبب صادم
تعليق طبي
تؤكد د. رانيا النبراوي أن هذه الحالة تذكّر الجميع بأهمية الفحوصات الدقيقة والمراجعات الطبية الشاملة، خاصة للمرضى كبار السن أو الذين لهم تاريخ طبي طويل، حيث يمكن أن تخفي أجسام غريبة مثل الرصاص أو الشظايا لأعوام طويلة دون أعراض واضحة.
هذه الحالة النادرة تسلط الضوء أيضًا على قدرة الجسم على التكيف مع وجود أجسام غريبة لفترات طويلة، لكنها في نفس الوقت تنبه الأطباء إلى ضرورة متابعة أي تغييرات أو آلام جديدة، حتى لو ظهرت بعد عقود من الإصابة الأصلية.




