استغاثة عاجلة: طفل في عامه الثاني يصارع المرض داخل العناية المركزة .. والأسرة تطالب بتدخل عاجل من استشاريي المخ والأعصاب
كتبت/ مي السايح

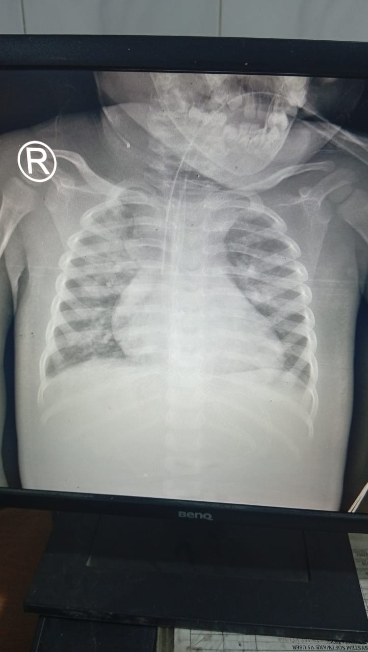
أرسل القارئ أشرف ثروت استغاثة إنسانية عاجلة، وحيث يناشد، الجهات المختصة ووزارة الصحة بسرعة التدخل لإنقاذ حياة طفله البالغ من العمره عام ونصف، بعد تدهور حالته الصحية داخل العناية المركزة بمستشفى الغردقة العام، حيث يقبع منذ نحو شهر كامل تحت الرعاية الطبية.
ووفقًا لما أكدته الأسرة، يعاني الطفل من مضاعفات صحية خطيرة تتمثل في عدم قدرته على الوقوف على قدميه، إلى جانب وجود بلغم كثيف بالصدر، واضطراب في ضغط الدم، فضلًا عن استمرار وجود ميكروب لم تستجب حالته للعلاج حتى الآن، بحسب نتائج التحاليل الطبية.


وأوضحت الأسرة أن الأطباء المشرفين على الحالة أكدوا تعقيد الوضع الصحي، مما يستدعي عرض الطفل بشكل عاجل على استشاري مخ وأعصاب لتقييم سبب عدم القدرة على الوقوف، إضافة إلى استشاري باطنة لمتابعة اضطراب الضغط والحالة العامة، وكذلك تدخل فريق علاج طبيعي متخصص للحفاظ على كفاءة العضلات ومنع حدوث مضاعفات إضافية نتيجة طول فترة البقاء في العناية المركزة.
وأكدت الأسرة أن بقاء الطفل داخل العناية المركزة لمدة شهر دون تحسن ملحوظ يزيد من المخاوف بشأن حالته، خاصة في ظل احتياجه لتقييم تخصصي دقيق ومتعدد المجالات، قد لا يتوافر بشكل كامل داخل المستشفى، وتطالب الأسرة بسرعة تحويل الحالة إلى مستشفى متخصص.






